Jos: "Scans"

Gepubliceerd op 31 juli 2019 om 17:47

Dit wordt een ongebruikelijke blog. Bij de verpleegkundig specialist heb ik er eindelijk aan gedacht om te vragen of ik foto’s mocht maken van de scans die van mij gemaakt zijn. Dus ik gun jullie een kijkje in mijn lichaam. Jullie kunnen mijn tumor zien. Het voelt raar om plaatjes van het binnenste van mijn lichaam te delen. Maar des te mooier!

 

Alle foto’s zijn met mijn telefoon gemaakt van een beeldscherm, vandaar de matige kwaliteit. Allereerst een overzichtsfoto. Dit is een PET-scan. Bij een PET-scan wordt radioactieve glucose (suiker) in mijn lichaam ingespoten. Hierdoor lichtten de delen op die actief zijn en suiker vragen. Bovenin mijn hoofd zijn dat mijn hersenen. Links in het middenrif (rechts op het plaatje, de grote bol) is mijn hart. Daarnaast zit de tumor, links op het plaatje, rechts in mijn borstkas. Duidelijk te herkennen door het kruis wat erdoorheen is gezet. Het donkergrijze gebied onder de tumor is mijn lever en daar weer onder kun je ook goed mijn twee nieren herkennen. Tenslotte zie je dat het plasmiddel goed werkt, want mijn blaas (de onderste donkere bol) zit al vol met radioactief afvalmateriaal. Op een PET-scan zie je de actieve delen in het lichaam heel duidelijk, maar de andere weefsels en organen zijn nauwelijks te zien.

 

Het volgende plaatje is een CT-scan. Ik wordt hier dwars doorgesneden en we kijken van onderen naar boven. Deze doorsnede is gemaakt ter hoogte van de onderkant van her borstbeen. In het blauw-groene kruis zit mijn tumor. Rechts daarnaast is mijn hart. De witte stippen daaromheen zijn mijn ribben en onderin zie je een wervel. Het is meteen duidelijk dat enkel een CT-scan het moeilijk maakt om een tumor te ontdekken. De tumor is iets donkerder grijs dan het gezonde weefsel daaromheen, maar je moet goed kijken en op deze foto zie je het verschil bijna helemaal niet.

 

Daarom wordt met de CT-scan via de computer gecombineerd met de PET-scan. Het resultaat is een PET/CT-scan. Hierbij zie je duidelijk de tumor in mijn lever oplichten. Ook zie je dat mijn hart actief is en oplicht. De artsen kunnen letterlijk langs alle kanten door deze plaatjes scrollen en zo een duidelijk beeld krijgen van de vorm en de locatie van de tumor.

 

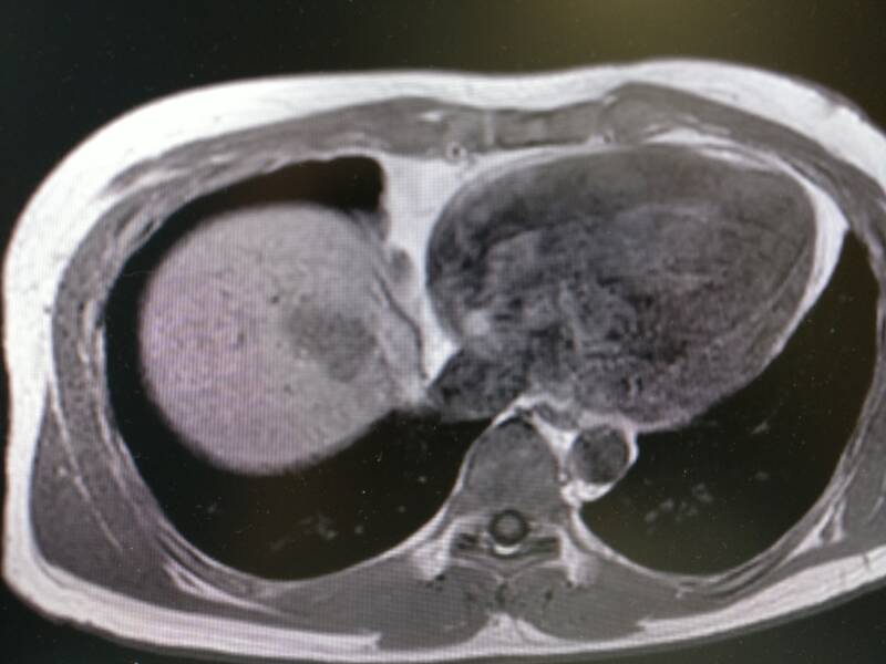
Het plaatje hierboven is een MRI-scan. Hierop kun je de weefsels veel duidelijker zien. Deze MRI is ongeveer dezelfde locatie als de twee bovenstaande plaatjes. Je ziet weer rechts het hart en links de lever. Mijn tumor ziet er nu donkergrijs uit in het lichtere grijs van de lever. In tegenstelling tot een CT-scan, waar die botten wit oplichten, zie je de botstructuur veel minder duidelijk op een MRI. Maar de spieren en de vetlagen onder mijn huid die op de MRI mooi zichtbaar zijn, zijn een grijze brij op de CT.

 

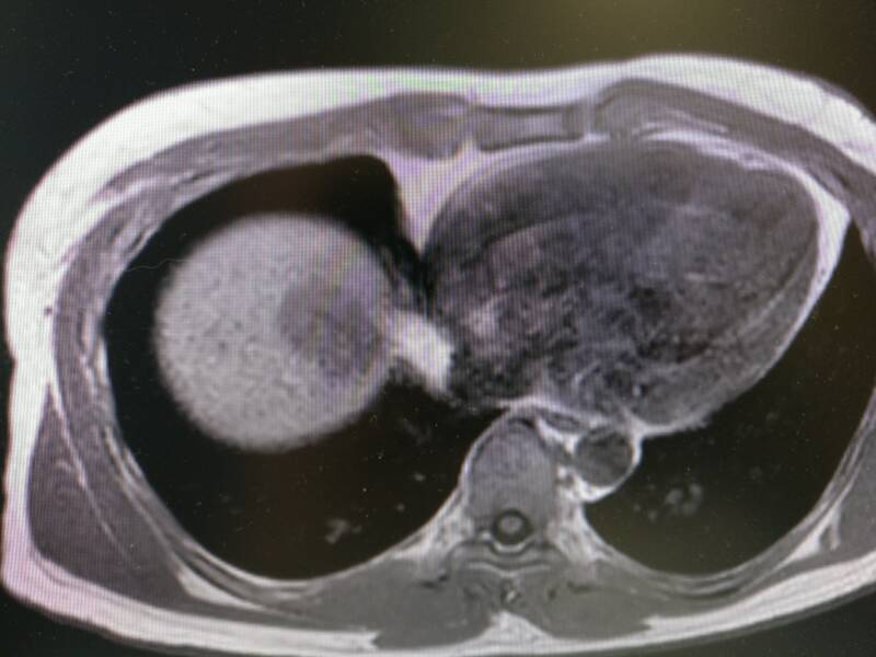
Als laatste nog twee plaatjes van de MRI scan. Hierop zie je de stappen waarmee de artsen door mijn lichaam kunnen scrollen. We gaan van boven naar onderen. Mijn lever wordt dus steeds groter op de plaatjes omdat die onderin mijn lichaam groter is.

Gaaf hè? Tenminste, dat vind ik. Erg bijzonder dat we tegenwoordig in staat zijn om zulke gedetailleerde plaatjes te maken van de binnenkant van een lichaam. In de TV-serie “Helden van het Maxima”, vertelt een chirurg overigens dat tijdens de operatie het verschil tussen gezond weefsel en tumorweefsel niet te zien is. Een chirurg moet dus een goed beeld hebben waar de tumor zich bevind en de scans tijdens de operatie kunnen vertalen naar wat hij ziet tijdens de operatie. In de TV-serie zie je onderzoek naar beeldende technieken die de chirurg hierbij helpen.

Voor de duidelijkheid, de TV-serie is niet opgenomen in het Maxima Medisch Centrum in Eindhoven/Veldhoven, maar in het Prinses Maxima Centrum voor kinderkanker in Utrecht. Dit is het ziekenhuis waar mijn nichtje Jade gelegen heeft voor haar behandeling tegen leukemie.

Reactie plaatsen

Reacties

Sylvia
7 jaar geleden

Heel bijzonder Jos dat je dit met ons deelt. Is wel heel duidelijk. Sterkte voor jullie allen. Lieve groetjes uit Yerseke

Joke Slabbekoorn
7 jaar geleden

Mooi dat je dit deelt Jos .intressant om te zien ,wou alleen dat het scans van ander was zodat jij gezond rondloopt.hoop dat jullie een beetje kunnen genieten van de zomer ,doe je gelijk weer kracht op voor de komende o.k.we denken aan jullie. Groetjes van ons

Jolanda Bazen
7 jaar geleden

Dit is inderdaad super interessant, Jos!
Wat gaaf dat je dit zo deelt.
Ik lees zo af en toe de blogs om weer even bij te zijn. 😉
Heel veel succes met het hele traject, lieverds! 😘

Rinus en Marieke
7 jaar geleden

Een heel duidelijke uiteenzetting van waar de tumor zit en hoe groot die ongeveer is. Bedankt voor het delen met ons. Zo blijven we op de hoogte van het wel en wee. We wensen jullie allen veel STERKTE !!!!!!!!!!!!!!!!!!!!!!!!!!!!!!